新闻中心

信丰六旬大爷反复咳嗽30余天,“元凶”竟是一颗“潜伏”肺部的假牙

发布时间: 2025-09-17

近日,信丰县中医院呼吸内科团队凭借精湛的支气管镜技术,成功为一名脑出血后遗偏瘫患者取出滞留气管一个多月的异物,有效缓解患者症状,守护了患者的生命健康,赢得了患者及家属的高度认可与感谢。

病例报道

患者,郑大爷, 是一名脑出血后遗偏瘫患者,日常生活本就多有不便。一个多月前,他开始出现反复咳嗽、咳痰的症状,起初家人以为是普通感冒或肺部感染,自行购买了一些止咳化痰药物给老人服用。然而,服药后症状不仅没有得到缓解,反而时有加重,老人的精神状态也逐渐变差,进食时的呛咳问题也比以往更明显。

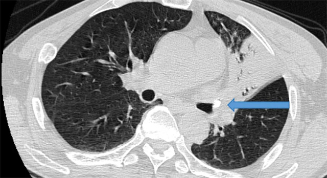
术前CT检查影像


眼见老人身体状况日益不佳,家人急忙带着郑大爷前往信丰县中医院就诊。入院后,呼吸内科医师详细询问病史并进行体格检查,考虑到患者有长期进食呛咳史且咳嗽咳痰症状持续不愈,立即安排胸部 CT 检查。检查结果显示,郑大爷左肺上叶支气管存在异物,且已合并左肺上叶尖后段肺不张,这正是导致他反复咳嗽、咳痰的根本原因。

“患者本身有偏瘫基础病,身体耐受能力较差,异物在气管内滞留时间已达一个多月,长期阻塞气道不仅会加重肺部感染,还可能引发呼吸衰竭等更严重的并发症,必须尽快取出异物。”为确保诊疗方案的安全性与有效性,呼吸内科医护团队立即对患者的病情进行了疑难病例讨论。经过充分评估患者的身体状况、异物位置及可能的性质,团队最终确定为患者实施支气管镜下探查术 + 异物钳取术,这是目前取出气管异物最直接有效的方式。

术中取出气管异物-残牙

手术当天,在医护人员的密切配合下,成功将患者肺部异物取出。整个手术过程顺利,耗时短,创伤小。

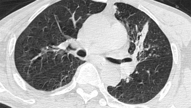
术后,医护团队为郑大爷制定了个性化的治疗方案,促进肺功能恢复。给予抗感染治疗及气道廓清治疗,帮助其清除肺部残留分泌物,促进肺功能恢复。复查胸部 CT 显示,其阻塞性肺炎较术前有了显著改善,左肺上叶的通气功能逐渐恢复。看着老人身体一天天好转,家属激动地向医护人员连连道谢:“真是太感谢信丰县中医院的医生护士了,要是再晚一点,真不知道老人的身体还能不能扛得住!”

治疗后CT复查影像

此次成功救治案例,不仅体现了信丰县中医院呼吸内科的专业技术水平,更展现出医护团队之间高度默契的配合,每一个环节都凝聚着团队的协作力量。未来,信丰县中医院将继续提升核心医疗技术能力,为县域及周边地区群众提供更优质、更高效的医疗服务,守护百姓健康。


信丰县中医院呼吸内科团队提醒广大市民

若有义齿松动,应及时处理。进食时要尽量细嚼慢咽,避免谈笑。一旦怀疑有异物吸入,无论时间长短,都应尽快到正规医院呼吸专科就诊,以免贻误病情。

无论是固体还是液体,呛入气管都是很危险的。海姆立克急救法仍然是目前世界上公认有效的抢救方法之一,是大众需要掌握的急救方法。一旦发生气道呛入异物,及时准确地使用海姆立克急救法自救或施救,都可能救回性命。


应用于3岁以下孩子

把孩子抱起来,一只手捏住孩子颧骨两侧,手臂贴着孩子的前胸,另一只手扶住孩子后颈部,让其脸朝下,趴在救护人膝盖上;在孩子背上拍1~5次,并观察孩子是否将异物吐出。

如果上述操作后异物没有排出:

1.把孩子翻过来,躺在坚硬的地面或床板上;

2.抢救者跪下或立于其足侧,或取坐位,并使小孩骑在抢救者的两大腿上,面朝前;

3.抢救者以两手的中指或食指,放在孩子胸廓下和脐上的腹部,快速向上压迫,但要很轻柔;

4.重复,直到异物排出。




应用于成人

1.抢救者站在患者背后,用两手臂环绕患者腰部;

2.一手握拳,将拳头的拇指一侧放在患者的胸廓下和脐上的腹部;

3.另一只手抓住拳头,快速向上重击、压迫患者腹部;

4.重复以上手法,直到异物排出。


用于自救

1.可采用上述用于成人四个步骤的后三个步骤;

2.或稍稍弯下腰去,靠在一固定的水平物体上(如桌子边缘、椅背、扶手栏杆等),以物体边缘压迫上腹部,快速向上冲击;

3.重复之,直到异物排出。

一般异物不太容易进入成年人的气管支气管,但是进食过快、进食中大声说话谈笑可能会造成误吸,醉酒后也容易误吸呕吐物或者假牙。对于预防异物卡喉窒息,预防大于治疗,要注意将食物处理成合适的大小,进食时充分咀嚼,口中含有食物时,避免大笑、讲话、行走和跑步;不允许儿童将小玩具放入口中。当出现反复呛咳、呼吸困难等症状,要尽快到医院检查,以免造成严重后果。


呼吸内科简介

信丰县中医院肺病科(呼吸内科)是我院重点临床科室,坚持人才强科的战略,促进学科发展,不断加强人才队伍建设、优化人才结构、提高医疗诊疗能力,提升医疗服务质量;我院肺病科(呼吸内科)的服务宗旨:保证三个满意,即患者满意、同行满意、专家满意;目前科室医护共有17人,其中副主任医师1人,主治医师3名,住院医师2名,主管护师1名,护师3名,护士7名;科室配备先进的奥林巴斯电子支气管镜(BF-Q170)、无创呼吸机、高频氧疗仪、震动排痰仪等;常规开展支气管镜检查、活检、异物钳取、刷检等;同时开展多种中医特色治疗(益肺督灸、耳穴埋豆、穴位贴敷等)治疗慢性呼吸道疾病疗效显著。科室擅长于慢性阻塞性肺疾病(肺气肿)、支气管哮喘、肺部感染、间质性肺病、支气管扩张、肺源性心脏病、肺结核、液气胸、肺癌、肺脓肿、呼吸衰竭、睡眠呼吸暂停综合征等呼吸系统常见病、多发病的中西结合综合诊疗。